Periodoncia
¿Te sangran las encías?
Nuestra prioridad es cuidar tu salud bucodental. Es lo que nos motiva cada día a dar lo mejor de nosotros
Eliminamos el sarro presente en tus dientes, los pulimos y sanamos tus encías.
Lo más importante, te enseñamos y asesoramos para que mantengas resultados de higiene de forma más prolongada.


¿Te han dicho que te sacan todos los dientes?
Somos especialistas en salvar dientes.
Gracias a los tratamientos periodontales tenemos la capacidad de dar más años a tus dientes, preservando función y estética


Si tienes mal aliento o halitosis, nos esmeramos especialmente en esto que afecta tanto la vida de las personas. Te asesoramos en eliminar esta condición y cuidamos de ti.


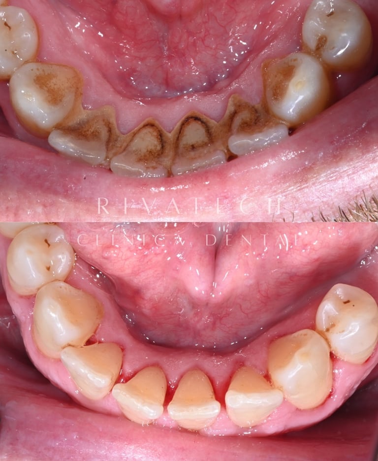
Guided biofilm therapy
Mediante esta técnica, valoramos el porcentaje de placa que tienes en boca y dónde se encuentra ubicado. Además utilizamos el dispositivo de la prestigiosa marca EMS con sus productos de control de placa para tener una boca libre de enfermedad periodontal.
Un ejemplo de ello es el caso que se ve a continuación. Las zonas marcadas son las que deben mejorarse, nosotros las limpiamos y te enseñamos a cómo limpiar mejor en dichas zonas.
Ven a nuestra consulta y te ayudamos a mejorar la higiene de tus encías.


Alargamiento de encías
Mejorar la estética de tus encías es posible. Con una correcta planificación y el especialista indicado, mejorar tu sonrisa mediante procedimiento de remodelado gingival es simple, pero muy efectivo. Esta técnica también es llamada gingivoplastia o gingivectomía.
Ven y haz un diagnóstico gratuito con nosotros, te asesoramos para mejorar tu imagen.


Contacto
Atención personalizada y tecnología avanzada dental
Ubicación
Horario:
De lunes a viernes de 9:00 a.m. a 9:00 p.m.
Sábados de 9:00 a.m. a 20:00 p.m.
Domingos, bajo cita previa o contacto
Calle las Viñas 56, Fuengirola, Málaga. 29640
+34642140821
© 2025. All rights reserved.
clinica@rivatechdental.com
Clínica dental Rivatech pertenece a Mariveros Solutions S.L.
Registro Mercantil Málaga
Sección 8, Hoja MA-186492, Inscripción / Asiento 1.
NICA 67574